Bodo saltans virus is a giant virus that belongs to the most common group of the seas
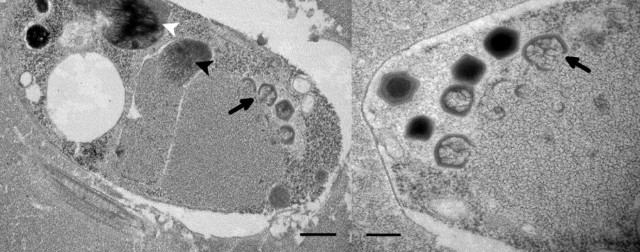
An article published in the journal “eLife” describes a research on a species of giant virus called Bodo saltans virus (BsV), considered part of the most abundant group present in the seas. The name is due to the fact that it infects a species of microscopic plankton called the Bodo saltans. A team of researchers from the University of British Columbia succeeded in isolating this virus, classified as a Klosneuvirus, a sub-group of the Mimiviridae family.
